வியாழன், 1 மே, 2014

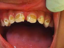
கறை படிந்த பற்கள், பளிச்சென்று மின்ன‍ வேண்டுமா?

கறை படிந்த பற்கள், பளிச் சென்று மின்ன‍ வேண்டுமா?
என்ன தான் டூத் பிரஷ் உப யோகித்து ஒருமுறைக்கு இ ரண்டு முறை பல் தேய்த்தா லும் நமது பற்களில் கறை (decay) கொஞ்சம் கொஞ்ச மாக படிந்து விடுகிறது.
பல் மருத்துவக்கல்லூரியில் சேரும் மாணவர்களுக்கு முதலில் சொல்லித் தருவதே, அவர்க
ளின் பற்களை சுத்தம் செய்துகொண்டு வர ச் சொல்வது தான். நீண்ட நாட்களாக இருக் கும் கறைப் படிவங்களை சுத்தம் செ ய்வது மிகவும் எளிது. பொட்டாசியம் பர்மாங்க னேட் என்ற வேதிப்பொருள் (pottasium permanganate) (KMNO4) பெரும்பாலான மருந்துக் கடைகளில் பாக்கெட்டுகளில் கிடைக்கும்.
இதனை வாங்கி வெது வெதுப்பான நீரில் மிகச்சிறிய அளவில் (small pinch)போட்டு (தண்ணீரில் போட்டவுடன் ஊதா நிறமாக மாறும்) அந்த தண்ணீரை வாயில் ஊற்றி நன்றாக கொப்புளிக்க வேண்டும். (துவர்ப்புத் தன்மை கொண்ட து) அதிகமாக இந்த வே திப்பொருளை நீரில் போடக்கூடாது. கரு ஊதா நிறமாக மாறும். துவ ர்ப்புத் தன்மை அதிகரித்து விடும்.
கொஞ்சம் கொஞ்சமாக கொப்புளித்த பின்னர் பிரஷ் கொண்டு (பேஸ்ட் போடா மல்) சுத்தம் செய்யும் போது பல வருடங்களாக இருந்த கறைகள் பெயர்ந்து வெளி யேறும். பற்கள் பளிச்சென் று ஆகிவிடும். வருடத்திற்கொருமுறை அனைவரும் இதனை செய்து கொள்வது நல்லது. பிறகென்ன பல் மருத்துவரிடம் போக வேண்டிய அவசியமே இருக்காது.